









【自體骨移植基礎與要點】出版時間:2022年01月
內容簡介
近來,隨著種植治療推廣和普及,併發症的發生率逐漸升高。 本書《口腔種植自體骨移植基礎與要點》認為種植治療的成功與種植體、骨增量、修復和後期維護的關係密不可分。 對手術的認知不足、手術的不熟練、選擇錯誤的術式是造成問題病例的常見原因。 為了避免種植治療的失敗,本書先從種植外科的基本科技,包括切開、黏骨膜瓣剝離、種植窩洞製備、種植體植入、縫合、基臺連接等方面進行講述,然後將詳細闡述對因為採用了錯誤術式而造成骨缺損的病例進行植骨時,自體骨移植的正確方法和避免失敗的關鍵所在。
作者簡介
張健,天津市口腔醫院(南開大學口腔醫院)口腔種植中心主任,主任醫師,副教授,碩士生導師中華口腔醫學會口腔種植專業委員會委員、天津市口腔種植專業委員會主任委員、國際口腔種植學會專家組委員(ITI fellow)、國際牙醫師學院(ICD)院士、天津市口腔醫學會常務理事、 天津市醫師協會口腔分會常務理事、天津市醫學會整形與美容專業委員會委員吳松濤
齒學博士,主治醫師東京醫科齒科大學種植與口腔再生醫學博士,,吉林大學口腔醫學院本碩連讀七年制種植碩士,日本文部科學省獎學金獲得者,國際口腔種植學會(ITI)會員,國際種植牙專科醫師學會(ICOI)會員
目錄
第1章種植外科基礎
1切開
翻瓣手術
不翻瓣手術
2黏骨膜瓣的剝離
3種植窩洞的製備
理想的種植體位置
對骨最小的損傷和種植體良好的初期穩定性
4種植體植入
5縫合
6安裝基臺
環切法(punch-0ut法)
半環切法(half punch-out法)
齦乳頭重建法
間斷縫合法
第2章骨增量手術的要點
1前言
2術前的檢查與診斷
3適當的術前、術後用藥
4恰當的翻瓣設計及輕柔仔細的分離
5成張切開
縱行切開的基底部骨膜一刀切開
僅一次骨膜切開不能獲得足够减張時的對策
6受骨區的適當預備
骨面的搔刮及鄰牙的根面平整
溢出孔的形成
7移植骨與受骨區骨的良好匹配
8將塊狀骨穩定固比特
9受骨區骨與塊狀骨之間的間隙用粉碎骨填塞
10避免創口裂開的縫合
11癒合期骨移植部位修復體的避免負重
12術後
第3章取骨
1前言
2下頜昇支取骨
切開
剝離和保證術野
骨的切開線
用骨鑿取骨
用取骨器取骨
從下頜昇支取骨後的處置
3頦部取骨
切開
剝離
骨切開線
用骨鑿取骨
頦部取骨後的處置
第4章水甲貼面植骨(veneer graft)和垂直塊狀骨植骨(onlay graft)
1 veneer植骨
單顆上前牙缺失
兩顆上前牙缺失
下頜兩顆磨牙缺失
2 0nlay植骨
上頜前牙區垂直向骨增量
下頜前牙區垂直向骨增量
下頜磨牙區垂直向骨增量
參考文獻












--------------------------------------------------------------








【自體牙移植與再植】出版時間:2020年10月
內容簡介
近年來,特別隨著種植修復的普及,隨意拔牙呈現新增的趨勢。 結果把通過努力治療可以保存的牙齒診斷為拔除的牙齒,勸說患者進行種植修復或其他處置,在日常臨床中感覺來院尋求第二種診斷的患者急劇增加。 遺憾的是,就連應該給涉足臨床不深的醫生做表率的海內外臨床雜誌、圖書及報告會等也出現了這種趨勢。 而且縱觀各種培訓會與報告會的文宣廣告也會發現盡力保存天然牙的內容很少,而拔牙後種植修復的內容比比皆是,一旦考慮到將齒科醫療向這樣的方向發展是否合適,深深地感到不安。
毋庸置疑,齒科治療目標是盡可能保存天然牙和牙列。 本書關於最終保存治療的牙移植與再植列舉了大量具有遠期預後的病例。 據此可以從短期預後病例迫近難以把握移植與植的本質。
本書特徵盡可能减少基礎理論的描述,重點介紹臨床實踐。 從視覺上通俗易懂地介紹具體的手術方法與術後管理的注意事項,為了讓手術者應對各種臨床病例下足功夫尋找大量具有參攷價值的類似病例。 為了讓讀者在日常臨床能够靈活應對遇到的每一病例,準備了各種各樣容易發現相似性的典型病例。 而且,為了有效提高手術者的臨床操作水准,由易到難循序漸進地列舉了各種病例。
作者簡介
湯學華
博士,主任醫師
1996年6月畢業於第四軍醫大學
1996年7月至2016年12月工作於南京軍區南京總醫院口腔科
2001年9月至2002年9月為日本ILO協會研修生
2005年9月至2007年12月為南京大學醫學院碩士研究生
2008年4月至2012年3月為日本大阪大學齒學研究科博士研究生
2015年1月擔任南方醫科大學碩士研究生導師
2017年7月成立南京秦淮久雅口腔診所
目錄







--------------------------------------------------------------






【修復與正頜正畸的垂直空間】出版時間:2020年09月
--------------------------------------------------------------








【牙齒形態 片岡繁夫】
內容簡介
《片岡繁夫牙齒形態學》一書詳細地闡述了“三種基本形態(圓形、方形、尖形)”的概念和定義,並從唇面正面、鄰面側方、切緣三個方向,用大量圖片進行示意,“手把手”傳授掌握牙齒形態的秘訣,是口腔醫師、技師的“學習寶典”。 本書從唇面、鄰面、切緣及牙頸線形狀詳細闡述天然前牙的三種基本形態(圓形、方形、尖形)的相似性,並分別從上下後牙咬合面牙尖頂位置、窩溝位置及走向,鄰面頰舌側突部位的位置關係說明後牙各部位形態的相似性。 內容詳盡、圖片精美,對口腔醫療工作者來說,在牙齒形態的學習與掌握上,大有裨益!
主編
〔日〕片岡繁夫
國際知名口腔技工大師
大阪陶瓷培訓中心、龍馬學校負責人
主譯
湯學華
日本大阪大學口腔醫學博士
南京久雅口腔院長、主任醫師
“湯塾”創始人
畢業於四軍醫大學,博士畢業於日本大阪大學,長期從事口腔修復、牙齒美學修復、咬合診斷與治療、顳下頜關節病診斷與治療等工作。 迄今在國內外發表論文20餘篇,其中被Journal of Dentistry等國際知名雜誌收錄SCI論文7篇,翻譯專著《天然牙齒形態學:基礎篇》《天然牙齒形態學:進階篇》《口腔種植咬合技術》《自體牙移植與再植》《日常臨床實用咬合技術》《口腔修複治療咬合基礎知識》。
“湯塾”是由大阪大學湯學華博士領銜的國外實用口腔醫學參考書翻譯團隊,團隊秉持著“咬合是口腔臨床之本,致力於咬合與美學和諧”的理念,旨在為國內同道帶來國際上口腔治療的先進理念與科技,造福廣大口腔患者。
--------------------------------------------------------------
















【循證思維種植方案設計與操作技巧】出版時間:2022年03月
內容簡介
《循證思維種植方案設計與操作技巧》為臨床方案制訂和操作程式提供了更系統的方法。 它由國際知名的臨床和科研專家編寫,具有最佳的文獻證明,為口腔種植醫生提供*新的臨床相關指導。 本書在內容上涵蓋了牙列缺損和無牙頜患者種植的各個方面,包括成像、資料和新技術,並附有視頻以演示討論的過程和具體數據。
本書是一本具有全新理念的、從規劃到手術和修復階段可全程使用的口腔種植參攷圖書,適合口腔醫學生、全科醫生和專家閱讀。
主要特色
● 提供基於*新研究的臨床相關資源
● 將循證方法應用於種植牙科的各個方面,涵蓋從計畫制訂到手術實操、種植修復
● 隨附圖片詳細描述程式
● 涵蓋種植的所有階段,從計畫到執行
● 提供了視頻資料,可掃碼觀看
作者簡介
關呈超
博士副主任醫師
杭州美奧口腔醫院院長
國際種植牙專科醫師學會(ICOI)中國總會常務理事
國際種植牙專科醫師學會(ICOI)浙江分會副會長
李靜
博士副主任醫師
復旦大學附屬華東醫院口腔科主任
中國人體健康科技促進會口腔種植專業委員會常務委員
中國整形美容協會口腔整形美容分會理事
上海市口腔醫學會口腔修復專業委員會委員
上海醫師協會口腔醫師分會委員
上海市臨床研究倫理委員會委員
伊哲
博士副主任醫師碩士生導師副教授
中國醫科大學附屬口腔醫院口腔修復學教研室副主任、修復一科副主任
中華口腔醫學會口腔頜面修復專業委員會常務委員
中華口腔醫學會口腔修復專業委員會委員
中華口腔醫學會口腔美學專業委員會委員
遼寧省口腔醫學會理事
遼寧省口腔醫學會口腔美學專業委員會副主任委員
遼寧省口腔醫學會口腔修復專業委員會委員
國際口腔種植學會(ITI)會員、國際口腔修復學會(ICP)會員
--------------------------------------------------------------

【口腔種植工藝操作流程:分步驟操作指南】出版時間:2021年01月
內容簡介
本書提供給種植醫師、修復醫師及技師一個系統且實用的視角,使讀者能够瞭解牙科種植修復相關的常見臨床及技工製作程式。 本書章節按照病例種類分類,選擇各類的常見種植病例做專門說明和闡述,也涵蓋修復程式中的相關併發症,並加以技工工作單以解說每一步驟。 在著重講解各程式的步驟與解釋時,本書還包含其他專業名詞及治療的背景知識,並添加了大量的臨床及技工的照片及示意圖。
本書適用於口腔科種植醫生、種植修復技師及口腔科醫學生。
目錄
第1章口腔種植學簡介001
引言001
負荷管道002
傳統兩階段式無負荷骨癒合002
一階段式無負荷骨癒合003
即刻負荷003
非功能性即刻負荷004
基臺005
基臺選擇005
手術導板006
傳統的手術導板006
數位化手術導板008
參考文獻009
第2章下頜雙植體支持覆蓋義齒011
引言011
臨床病例報告013
診斷015
評估015
診斷模型015
個性化印模託盤016
終印模017
工作模型018
頜比特記錄基板019
上架020
蠟型義齒022
製作過程024
臨床試戴026
參考文獻027
第3章即刻負荷——上頜鑄造金屬橋架修復(哥倫布橋程式)029
引言029
臨床病例展示030
診斷032
評估032
診斷學034
模型上架036
手術導板037
手術/種植體植入043
基臺就位048
基臺水准印模050
頜比特關係記錄052
工作模型055
轉移上架056
製作種植臨時螺絲固比特修復體058
鑄造金屬支架的製作059
混合式修復橋架的製作061
戴入064
種植後一周臨床複診068
參考文獻069
第4章數控裝置輔助替代體放置及CAD/CAM基臺071
引言071
編碼全修復系統075
臨床病例展示083
診斷085
評估085
診斷用模型及手術導板製作086
種植手術087
放置癒合基臺087
帶有編碼的癒合基臺的放置及印模087
主模型090
上架091
編碼完成的工作交接單092
掃描094
基臺的設計及研磨095
利用數控裝置將技工用替代體放置於數控模型097
烤瓷熔附金屬全冠的製作101
臨床試戴103
參考文獻107
第5章上頜種植體支持的下部杆卡(CAM StructSURE精密研磨杆卡支架)聯合上部鑄造覆蓋義齒修復及下頜CAM StructSURE精密研磨杆卡輔助混合螺絲固比特修復109
引言109
臨床病例報告110
診斷111
評估111
診斷模型及手術導板製作113
種植手術114
種植體水准印模——技工步驟115
工作模型117
記錄基板/頜比特關係記錄118
上架/蠟型義齒/確認導板120
CAD/CAM設計/製作支架123
上頜複製研磨加工杆卡126
電鑄沉積杆卡套管129
三級鑄造130
下頜CAM StructSURE精密研磨杆卡131
表面處理134
CAD/CAM支架人工牙排列134
臨床試戴138
成型139
戴入145
參考文獻147
第6章電腦斷層掃描引導手術/下頜全牙弓修復體的即刻負荷150
即刻負荷150
傾斜種植體151
診斷影像152
電腦斷層掃描154
互動式CT 156
互動式電腦軟體157
手術導板157
主套筒158
技工修復工具盒——種植替代體轉接器159
手術工具盒組件160
制取工作模型並製作固定式即刻臨時修復體161
螺絲固比特臨時固定修復體的基臺選擇162
螺絲固比特臨時修復體的製作163
臨床病例展示165
放射影像168
診斷168
評估168
治療方案169
蠟型義齒的製作169
蠟型義齒的臨床試戴174
CT放射導板的製作175
口內CT掃描176
製作帶有種植替代體的工作模型179
基臺的選擇與放置182
支架製作(臨時修復體)183
臨時修復體185
種植體的手術植入188
臨床放置基臺190
戴入臨時修復體191
術後隨訪192
參考文獻192
第7章使用固定穿齦輪廓的預成型基臺製作的三組織種植金屬烤瓷固定橋194
引言194
臨床病例展示198
診斷198
評估198
基臺選擇199
診斷199
手術200
基臺印模203
含有基臺替代體的工作模型205
蠟型基底206
終修復體207
戴入210
美學評估211
參考文獻212
第8章多顆種植體支持的CAD/CAM基臺烤瓷冠修復(Encode完全治療方案)213
引言213
Encode完全修復系統217
臨床病例展示225
診斷226
評估226
診斷模型/手術導板227
種植手術228
放置癒合基臺229
放置Encode癒合基臺及制取印模230
工作模型231
架轉移232
Encode完全工作流程233
掃描235
基臺的設計/切削236
自動化植入種植替代體(Robocast)238
製作金屬烤瓷冠240
臨床試戴243
參考文獻245
第9章電腦輔助設計/電腦輔助製作全瓷基臺(Encode Zirconia Abutment)支持的種植體全瓷單冠247
引言247
CAD/CAM方案——Encode完全修復系統253
臨床案例展示257
診斷258
評估259
診斷模型/手術導板261
種植手術262
放置Encode癒合基臺262
工作模型265
模型上架266
Encode加工訂單267
掃描269
自動化植入種植替代體270
基臺設計/切削273
烤瓷冠的製作278
臨床試戴282
參考文獻286
第10章上頜無牙頜電腦引導手術/即刻負荷289
引言289
傾斜種植體290
電腦斷層掃描291
錐形束放射電腦掃描292
互動式電腦斷層掃描293
CT治療計畫的正確性294
術前計畫295
臨床病例展示295
X線影像297
診斷297
評估297
治療計畫297
製作上頜的蠟型義齒298
上頜蠟型義齒的臨床試戴300
製作掃描輔助裝置302
口內CT掃描304
利用種植替代體來製作工作模型307
技工基臺的選擇與放置311
臨時修復體支架的製作314
臨時複修體315
種植體的手術植入318
臨床放置基臺319
戴入臨時修復體321
術後複診324
參考文獻325
第11章下頜固定/可摘式修復體的義齒與義齒基底的置換328
引言328
臨床病例展示331
診斷333
評估333
約診順序333
診斷用模型334
上頜個性化印模託盤及永久上頜印模335
上頜工作模型337
上頜頜比特記錄基板與蠟堤337
臨床頜比特關係記錄340
次上架341
上頜蠟型義齒341
下頜工作模型344
第二次上架——下頜工作模型346
下頜蠟型義齒347
表面處理348
煮聚350
戴入352
參考文獻354





--------------------------------------------------------------











【全牙列種植重建】出版時間:2021年03月
內容簡介
全牙列種植重建(FAIR)是即刻固定的、可負重的,具有美觀舒適性、功能完整性,且費用低、易維護及很好可靠的優點。 該方案併發症少,手術和臨時修復在一次就診中完成,通常只需要4顆或5顆種植體,包括遠中利用患者可用骨的傾斜種植體,一般無須進行骨移植。 《全牙列種植重建》為全牙列種植重建提供了一個簡明、非常不錯的指南,依此,臨床醫生將FAIR應用到他們的臨床實踐中是可行的。 逐個案例分析的管道新增了內容的獨特性。 以患者為中心的治療方法包括:手術導板和科技、消毒滅菌、藥物使用、骨生理學應用及併發症處理等。 書中的病例不僅有患者頜面部照片,還有大量生動的、數位化渲染的效果圖,使治療流程的描述更加清晰; 另外,還提供了可獲取大量資訊的表格和圖片,闡述了治療程式的基本要素。
作者簡介
[美]阿倫·加爾格(Arun K.Garg)是世界上牙種植外科關於骨生理、骨收集和移植方面著名的專家。 他和羅伯特·馬克思博士一起率先使用富血小板血漿(PRP)。 他在佛羅里達州基因斯維爾的佛羅里達大學牙科學院獲得牙科學位,並在佛羅里達州的邁阿密傑克遜紀念醫院完成了高級專科醫師訓練。 他作為口腔頜面外科的教授和邁阿密大學倫納德·M. 米勒醫學院高級專科醫師培訓主任近20年。 在那裡,他經常被學生評為年度教師。 Garg博士出版了8本醫學教科書,並發表150多篇期刊文章。 現時是國際牙科種植協會主席。 作為一名國際講師,他還在佛羅里達南部開設了6家私人診所,是“種植研討會所”——牙科繼續教育公司的創始人。
孫鵬,主任醫師
北京大興興業口腔醫院副院長、種植中心主任
北京大興區衛生首席專家
北京口腔醫學會種植專業委員會常委
國際口腔種植牙醫師學會(ICOI)中國區專家委員會副會長
gIDE種植臨床碩士培訓課程中國區Clinician Mentor
華人美學牙科學會常務理事
2012年獲得解放軍總醫院首届臨床優秀醫師稱號
201 4年獲得全國BITC種植病例大獎賽銀獎
方玉柱,副主任醫師
玉蕙口腔醫療集團創始人、院長
國際牙醫師學院(ICD)院士
國際口腔種植牙醫師學會(ICOI)院士
國際口腔種植牙醫師學會(ICOI)中國區專家委員會副會長
江蘇省口腔醫學會種植專業委員會副主任委員
美國羅馬琳達大學gIDE種植課程認證
美國加州大學UCLA種植課程認證
美國密歇根大學訪問學者
《中國口腔種植臨床精萃》(2016卷)編委
中華口腔醫學會民營口腔醫療分會常務委員
江蘇省口腔醫學會民營分會時任副會長
蘇州民營口腔醫療協會會長
常熟市政協委員
上海同濟大學工商管理碩士(EMBA)
翟翬,奧瑞口腔院長
國際口腔種植牙醫師學會(ICOI)中國區專家委員會副會長兼秘書長
紐約大學ICOI FELLOW高級種植課程負責人
深圳市口腔醫療行業協會副會長
葉鵬,主治醫師
杭州雅寧口腔門診部院長
中華口腔醫學會會員
國際口腔種植牙醫師學會(ICOI)中國區專家委員會常務理事
美國gIDE/UCLA國際種植臨床課程高級研修
美國加州洛杉磯分校UCLA種植課程研修
德國法蘭克福大學口腔外科與種植高級課程研修








--------------------------------------------------------------





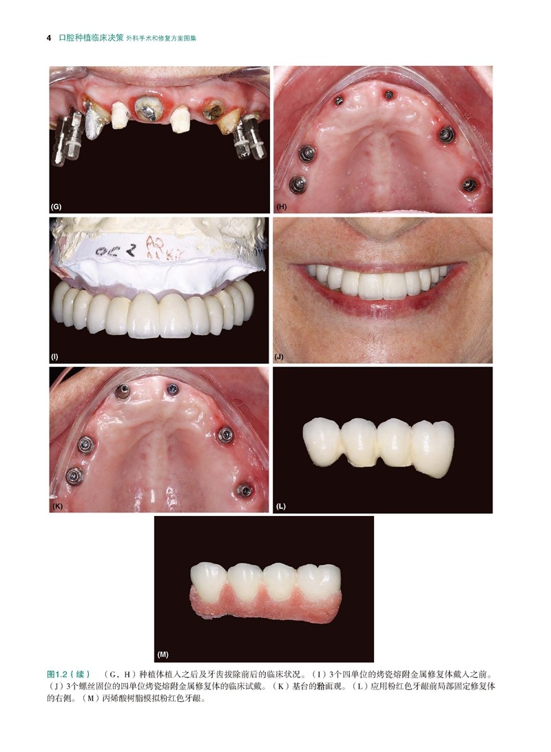
【口腔種植臨床決策】出版時間:2019-12-01
內容簡介
本書為讀者提供了各種臨床情景,從全口牙列缺失到部分牙列缺損,也包括單顆牙缺失。 各章節清楚地描述了臨床醫生在治療功能(後部)區域牙缺失與美學(前部)區域牙缺失時必須進行的不同決策過程,每章內容都附帶了作者收集的病例資料,並重點標明了外科團隊和修復團隊必須考慮到的基本概念和生物學原理。 本教材對口腔種植的外科和修復部分給予了同等程度的重視,對這兩個專科程式都進行了全面的系統評估,並衡量了治療方案的推薦强度。
本書的出版非常及時,必將成為臨床醫生在為患者提供種植治療以及尋求基於循證分析的治療方案時的參考資料
作者簡介
王仁飛
杭州口腔醫院集團院長
中華口腔醫學會口腔種植專委會委員
中華口腔醫學會口腔美學專委會委員
中國醫師協會口腔分會委員
國際種植牙協會(ITI)專家
Thommen全球專家
中國整形美容協會口腔整形美容分會常務理事
浙江省口腔醫學會常務理事
浙江省口腔醫學會種植專委會委員
杭州市醫學會口腔專委會副主任委員
《上海口腔醫學》雜誌編委
浙江省特色學科(口腔種植)帶頭人



NT$1399
【肉毒毒素填充劑與面部美學】

NT$2999
【牙周及種植體周顯微外科圖譜】(精裝正版)

NT$5150
【牙周整形與再生手術】+【牙周整形手術的全新治療理念】

NT$1650
【面部】——口腔醫生臨床操作指南

NT$2150
【“芝麻官”矯治器的臨床應用】

NT$1850
【精品牙科診所管理指南】(原著第2版)

NT$3050
【三步法牙齒磨耗微創修復】(瑞士)弗朗西絲卡·瓦萊塔

NT$3999
【口腔正畸隱形矯治臨床與生物力學】

NT$2400
【完美笑容分析與重現】(精裝)

NT$1750
2024重磅新品:【微創美容治療指南】(精裝版)

NT$1699
【口腔種植學概覽】

NT$2500
【顳下頜關節紊亂病與咬合的診治】(第8版)

NT$1850
【顯微根管外科疑難病例解析彩色圖譜】

NT$3450
【智齒外科學】+【智齒外科學圖譜】+【阻生智齒拔除術視頻圖譜--渦輪鑽法】

NT$1550
【口腔種植:治療計畫與臨床決策】

NT$1999
【肉毒毒素】(醫學美容與臨床應用)

NT$2000
重磅新品:【臨床功能咬合學】(基於咬合7要素的臨床咬合學)

NT$1799
2024開年重磅:【無托槽隱形矯治原理與生物力學】

NT$2500
【埋線提升科技臨床應用詳解】(NSRT:SMAS自然復位科技)

NT$2250
【舒適性全口義齒修復學】