
作為正畸醫生,矯正牙齒是以“力”作為治療手段,正畸弓絲上的曲是儲存力和釋放力的有效單元,掌握和熟悉各種曲的彎制與應用是一項職業基本功,猶如內科醫生對藥物掌握與使用。

本品超重,請選宅配地址















【實用正畸弓絲彎制技術圖譜】
主編推薦
作者將日常所收集的行之有效的正畸臨床經驗及基本操作,包括一些小發明、小裝置,小技巧,彙集成書。 實用正畸弓絲彎制科技圖譜(第2版)在版的基礎上,加入很多新式弓絲彎制的科技和技巧,適用於從事口腔正畸醫療業務的基層組織醫生及個體開業牙科醫生閱讀、理解及臨床應用時借鑒參攷。
目錄
●章正畸功能曲矯治二手反案例的思考
第二章小圈曲的彎制步驟及臨床應用
節小圈曲的彎制步驟
第二節彎制小圈曲構成的正畸主弓絲
第三節小圈曲的臨床應用
第三章隨形弓的彎制步驟及臨床應用
第四章推杆的彎制步驟及臨床應用
第五章滑動架的彎制步驟及臨床應用
節澳絲滑動架的彎制步驟
第二節不銹鋼絲滑動架的彎制步驟及臨床應用
第三節方絲滑動架的彎制步驟及臨床應用
第六章武氏弓的彎制步驟及臨床應用
節武氏弓的彎制步驟
第二節武氏弓的臨床裝配步驟及臨床應用
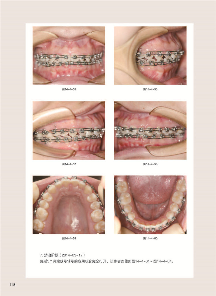
第七章蛤蟆弓的彎制步驟及臨床應用
節長腿蛤蟆弓的彎制步驟
第二節短腿蛤蟆弓的彎制步驟
第三節四眼蛤蟆弓的彎制步驟及臨床應用
第八章停止曲的彎制步驟及臨床應用
節停止曲的彎制步驟
第二節停止曲主弓絲的彎制步驟及臨床應用
第三節方絲停止曲主弓絲的彎制步驟
第九章歐米茄曲的彎制步驟及臨床應用
第十章匣形曲的彎制步驟及臨床應用
第十一章T形曲的彎制步驟及臨床應用
第十二章正畸功能曲——“蘑菇曲”
節“蘑菇曲”的形態結構與用途
第二節“蘑菇曲”的彎制步驟
第三節臨床結紮“蘑菇曲”的步驟
第四節臨床應用案例
第十三章淚滴狀曲的彎制步驟及臨床應用
節帶圈淚滴狀曲的彎制步驟及臨床應用
第二節常規淚滴狀曲的彎制步驟及臨床應用
第十四章上字曲的彎制步驟及臨床應用
第十五章多用途弓的彎制步驟及臨床應用
節壓低型多用唇弓的彎制步驟
第二節內收型多用唇弓的彎制步驟
第三節開展型多用唇弓的彎制步驟及臨床應用
第十六章靴形曲的彎制步驟及臨床應用
節靴形曲的彎制步驟
第二節靴形曲主弓絲的彎制步驟及臨床應用
第十七章阻生尖牙粗絲助萌牽引輔弓
第十八章三聯別針簧的彎制步驟及臨床應用
節藝術三聯別針簧的彎制步驟
……
第十九章搖椅弓的彎制步驟及臨床應用
第二十章爬坡曲的彎制步驟
第二十一章垂直曲的彎制步驟及臨床應用
第二十二章正畸功能曲和正畸附件的彎制步驟及臨床應用
第二十三章扁擔弓高位牽引鉤
----------------------------------------------------------------------------------










【實用正畸弓絲臨床應用圖譜】
內容簡介
本書主要介紹臨床常用的正畸弓絲、正畸功能曲及正畸粗絲輔弓等特色裝置的臨床應用,精在講述正畸案例中應用的細節與療效。 通過多個臨床應用案例,從不同角度幫助臨床醫生理解正畸曲中的奧秘。
作者簡介
武廣增,男,武漢市醫療事故鑒定委員會專家庫專家。 主持並完成2項臨床科研成果,其中課題推磨牙向後矯治器的研製及臨床應用達到國內領先水準,榮獲2001年度武漢市科技進步獎三等獎,先後獲得8項國家專利,2項武漢市發明獎,4項江岸區科技進步獎及1項優秀論文一等獎。
目錄
第一章 正畸弓絲功能曲及特色正畸專利附件欣賞1
第二章 正畸弓絲訓練科目之一5
第一節 停止曲6
第二節 歐米伽曲12
第三節 推杆16
第四節 圓絲滑動架22
第五節 小圈曲標準弓型28
第六節 垂直曲33
第七節 方絲三聯別針簧42
第八節 方絲T形曲標準弓型48
第九節 方絲靴形曲54
第三章 正畸弓絲訓練科目之二59
第一節 心跳簧60
第二節 分牙簧65
第三節 小蜜蜂67
第四節 控根小蜜蜂70
第五節 蠍子擺尾73
第六節 梅花弓77
第七節 小人基奇頓82
第四章 正畸弓絲訓練科目之三89
第一節 扁擔弓90
第二節 武氏弓98
第三節 方絲滑動架104
第四節 蛤蟆弓109
第五節 菱形擴展輔弓116
第六節 側切牙控根簧(老鼠夾)122
第七節 粗絲擴展輔弓127
第八節 雙臂彈力擴展輔弓(雙臂弓)133
第九節 方絲磨牙豎直簧137
第十節 四眼擴弓簧140
第五章 正畸弓絲訓練科目之四147
第一節 方絲蘑菇曲148
第二節 方絲上字曲標準弓型151
第三節 多曲方絲弓(MEAW)154
第四節 旋轉簧、正軸簧158
第五節 匣形曲163
第六節 九曲連環夾170
第七節 武氏助萌牽引輔弓174
第八節 正畸垂釣牽引輔弓180
第六章 正畸弓絲彎制作品選錄187
----------------------------------------------------------------------------------






















【實用蛤蟆弓應用技術圖譜】
內容簡介
本書從蛤蟆弓的正畸來源、形狀,蛤蟆弓的力學分析及蛤蟆弓的壓低輔弓等來介紹蛤蟆弓。 筆者為本書添加了大量的高清步驟圖,幫助廣大正畸醫生及學生學習和領會蛤蟆弓的製作原理、過程和臨床應用的要領,更好地為廣大的患者服務。
內容提要
本書從蛤蟆弓的正畸來源、形狀,蛤蟆弓的力學分析及蛤蟆弓的壓低輔弓等來介紹蛤蟆弓。 筆者為本書添加了大量的高清步驟圖,幫助廣大正畸醫生及學生學習和領會蛤蟆弓的製作原理、過程和臨床應用的要領,更好地為廣大的患者服務。
目錄
章欣賞:這些漂亮的正畸小裝置……………………………………………………………………. 1
第二章蛤蟆弓的故事…………………………………………………………………………………………….. 3
第三章奇妙的壓低輔弓——蛤蟆弓……………………………………………………………………….. 5
第四章蛤蟆弓證書…………………………………………………………………………………………. 7
第五章蛤蟆弓力學分析………………………………………………………………………………………. 15
第六章早期研發的前牙壓低彈力輔弓(蛤蟆弓前身)…………………………………………16
第七章蛤蟆弓彎制步驟………………………………………………………………………………………. 18
節長腿蛤蟆弓彎制步驟……………………………………………………………………………………………………………………………. 18
第二節短腿蛤蟆弓彎制步驟……………………………………………………………………………………………………………………………. 33
第八章蛤蟆弓結紮步驟(牙模演示)……………………………………………………………….. 41
節長腿蛤蟆弓結紮步驟……………………………………………………………………………………………………………………………. 41
第二節短腿蛤蟆弓結紮固定……………………………………………………………………………………………………………………………. 49
第三節臨床結紮蛤蟆弓操作步驟…………………………………………………………………………………………………………………….. 50
第九章改良蛤蟆弓與武氏直絲弓托槽………………………………………………………….. 57
節武氏直絲弓托槽上頜牙弓應用改良蛤蟆弓…………………………………………………………………………………….. 57
第二節武氏直絲弓托槽下頜牙弓應用改良蛤蟆弓…………………………………………………………………………………….. 60
第十章蛤蟆弓與Ⅱ類頜間彈力牽引………………………………………………………………………. 62
第十一章彎制蛤蟆弓容易出現的問題…………………………………………………………………. 64
第十二章蛤蟆弓短腿變長腿策略…………………………………………………………………………71
節蛤蟆弓短腿變長腿的應變策略………………………………………………………………………………………………………………71
第二節蛤蟆弓短腿變長腿的彎制步驟(牙模演示)…………………………………………………………………………………………72
第十三章蛤蟆弓科技臨床應用要點…………………………………………………………………….. 77
第十四章蛤蟆弓矯治深覆案例……………………………………………………………………………. 79
節單頜應用蛤蟆弓矯治深覆案例-1………………………………………………………………………………………………………….. 79
第二節單頜應用蛤蟆弓矯治深覆案例-2………………………………………………………………………………………………………….. 86
第三節單頜應用蛤蟆弓矯治深覆案例-3………………………………………………………………………………………………………….. 93
第四節雙頜應用蛤蟆弓矯治深覆案例……………………………………………………………………………………………………………. 107
第五節蛤蟆弓矯治二..深覆病例……………………………………………………………………………………………………………………121
第六節蛤蟆弓與切牙咬合擋板聯合矯治案例…………………………………………………………………………………………………. 125
第十五章蛤蟆弓矯治對刃案例………………………………………………………………………….. 130
第十六章蛤蟆弓矯治開畸形案
例………………………………………………………………………. 134
節蛤蟆弓矯治開畸形案例-1……………………………………………………………………………………………………………………134
第二節蛤蟆弓矯治開畸形案例-2……………………………………………………………………………………………………………………151
第十七章蛤蟆弓矯治反案例………………………………………………………………………………180
節蛤蟆弓矯治反案例………………………………………………………………………………………………………………………………180
第二節武氏弓矯治前牙反案例………………………………………………………………………………………………………………………. 181
第十八章蛤蟆弓矯治骨性反案例………………………………………………………………………. 184
節蛤蟆弓結合四眼簧矯治骨性反案例…………………………………………………………………………………………………….. 184
第二節蛤蟆弓結合e-zbond數位正畸科技矯治骨性反案例…………………………………………………………………………….. 210
第十九章改良蛤蟆弓Typodont類比深覆矯治實驗…………………………………………….. 235
參考文獻238
----------------------------------------------------------------------------------












【實用口腔正畸臨床技術圖譜】
編輯推薦
《實用口腔正畸臨床技術圖譜》將現時正畸臨床上實用的矯治新技術、新的手段臨床矯治經驗彙集成册,便於臨床醫生學習使用,實用性強。
內容簡介
近幾年來,隨著現代科學技術的進步,高新科學技術以及新材料的普及應用,正畸臨床矯治科技的發展很快,一些傳統理念不能通過正畸矯治的、有一定難度的複雜病例,現在通過使用新的矯治科技手段能够獲得成功。 以前認為不可逆的一些矯治失敗病例,現在可以通過種植釘支抗科技進行二次矯治。 傳統的頜內支抗如Nance托、聯合腭托、橫腭杆等裝置也逐漸由種植釘取代。 科技的發展,不僅體現在醫生操作程式簡化,患者口內裝置的减少,舒適度新增,支抗的作用及矯治效果也獲得極大的提升。 種植釘磨牙推進器推前、推後科技的研發及普及推廣使用,使成千上萬的患者得到實惠。
《實用口腔正畸臨床技術圖譜》重點放在臨床實際操作,以圖片的形式與讀者交流,體裁新穎,直觀親切,特點是能加深讀者直觀印象和對口腔正畸臨床操作及應用科技的理解,開門見山,實用性很强。 照片主要來源於作者口腔正畸臨床及教學實踐,看得見,摸得著,多是進修醫生、培訓班學員迫切要求講解的知識以及臨床正畸醫生治療中遇到的較難科技等。 書中還收集了作者頗具特色的專利技術及臨床療效明顯的小發明、小裝置,比如連環“老鼠夾”、撐子、梅花弓、蛤蟆弓、“小蜜蜂”等。
作者簡介
武廣增,男,主持並完成2項臨床科研成果,其中課題推磨牙向後矯治器的研製及臨床應用達到國內領先水準,榮獲2001年度武漢市科技進步獎三等獎,先後獲得8項國家專利,2項武漢市發明獎,4項江岸區科技進步獎及1項優秀論文一等獎。
本品超重,請選宅配地址



NT$1399
【肉毒毒素填充劑與面部美學】

NT$2999
【牙周及種植體周顯微外科圖譜】(精裝正版)

NT$5150
【牙周整形與再生手術】+【牙周整形手術的全新治療理念】

NT$1650
【面部】——口腔醫生臨床操作指南

NT$2150
【“芝麻官”矯治器的臨床應用】

NT$1850
【精品牙科診所管理指南】(原著第2版)

NT$3050
【三步法牙齒磨耗微創修復】(瑞士)弗朗西絲卡·瓦萊塔

NT$3999
【口腔正畸隱形矯治臨床與生物力學】

NT$2400
【完美笑容分析與重現】(精裝)

NT$1750
2024重磅新品:【微創美容治療指南】(精裝版)

NT$1699
【口腔種植學概覽】

NT$2500
【顳下頜關節紊亂病與咬合的診治】(第8版)

NT$1850
【顯微根管外科疑難病例解析彩色圖譜】

NT$3450
【智齒外科學】+【智齒外科學圖譜】+【阻生智齒拔除術視頻圖譜--渦輪鑽法】

NT$1550
【口腔種植:治療計畫與臨床決策】

NT$1999
【肉毒毒素】(醫學美容與臨床應用)

NT$2000
重磅新品:【臨床功能咬合學】(基於咬合7要素的臨床咬合學)

NT$1799
2024開年重磅:【無托槽隱形矯治原理與生物力學】

NT$2500
【埋線提升科技臨床應用詳解】(NSRT:SMAS自然復位科技)

NT$2250
【舒適性全口義齒修復學】