















【八步法牙列重度磨耗】
內容介紹
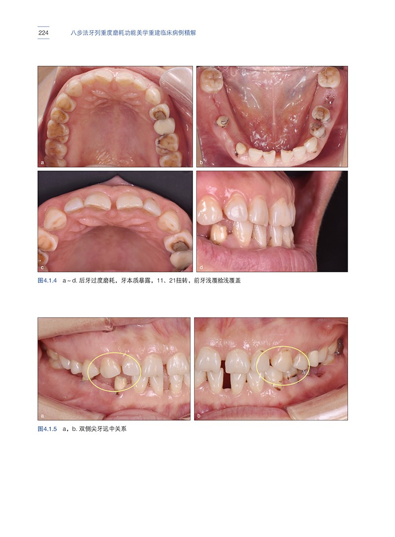
牙列重度磨耗是一種口腔臨床常見的牙齒硬組織非齲性疾病,表現為全牙列或牙列中多顆牙牙體表面硬組織明顯缺損,牙列重度磨耗嚴重影響患者的口腔功能和美觀。 牙列重度磨耗的病因複雜且鑒別診斷困難、磨耗類型多樣,修復重建涉及多個學科,不僅需要全口美學重建,還需要全口功能重建。 本書病例都是作者運用八步法序列治療科技完成的臨床遇到的牙列重度磨耗複雜病例,每個病例都做到了病因診斷正確、治療設計、操作過程精准、治療效果優良。 病例分析設計脈絡清晰、過程科技細節詳盡、問題討論啟發引導,努力幫助讀者理解和掌握八步法序列治療體系。
作者簡介








NT$1399
【肉毒毒素填充劑與面部美學】

NT$2999
【牙周及種植體周顯微外科圖譜】(精裝正版)

NT$5150
【牙周整形與再生手術】+【牙周整形手術的全新治療理念】

NT$1650
【面部】——口腔醫生臨床操作指南

NT$2150
【“芝麻官”矯治器的臨床應用】

NT$1850
【精品牙科診所管理指南】(原著第2版)

NT$3050
【三步法牙齒磨耗微創修復】(瑞士)弗朗西絲卡·瓦萊塔

NT$3999
【口腔正畸隱形矯治臨床與生物力學】

NT$2400
【完美笑容分析與重現】(精裝)

NT$1750
2024重磅新品:【微創美容治療指南】(精裝版)

NT$1699
【口腔種植學概覽】

NT$2500
【顳下頜關節紊亂病與咬合的診治】(第8版)

NT$1850
【顯微根管外科疑難病例解析彩色圖譜】

NT$3450
【智齒外科學】+【智齒外科學圖譜】+【阻生智齒拔除術視頻圖譜--渦輪鑽法】

NT$1550
【口腔種植:治療計畫與臨床決策】

NT$1999
【肉毒毒素】(醫學美容與臨床應用)

NT$2000
重磅新品:【臨床功能咬合學】(基於咬合7要素的臨床咬合學)

NT$1799
2024開年重磅:【無托槽隱形矯治原理與生物力學】

NT$2500
【埋線提升科技臨床應用詳解】(NSRT:SMAS自然復位科技)

NT$2250
【舒適性全口義齒修復學】